fb pixel

Smile Restoration by Dr Rashi Gupta

At Sayers Dental, Dr Rashi Gupta provides advanced full arch dental implant treatment in Geelong for patients seeking a long-term solution for missing, failing or severely compromised teeth. This case study highlights a comprehensive smile restoration designed to improve function, comfort, aesthetics, and confidence.

Patients from Geelong, Melbourne, Ballarat, Bendigo, and across Victoria often consider full arch dental implants when looking for a more stable, functional, and natural-looking alternative to removable dentures.

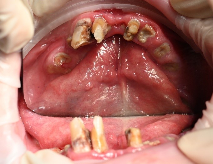
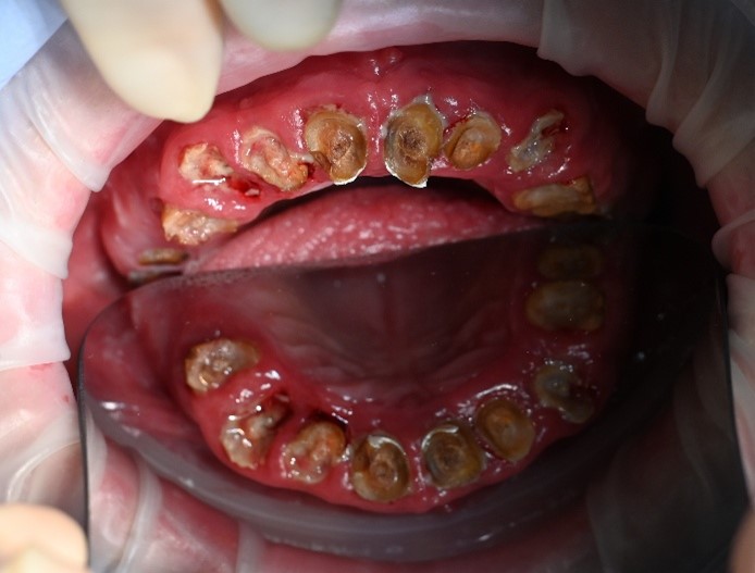
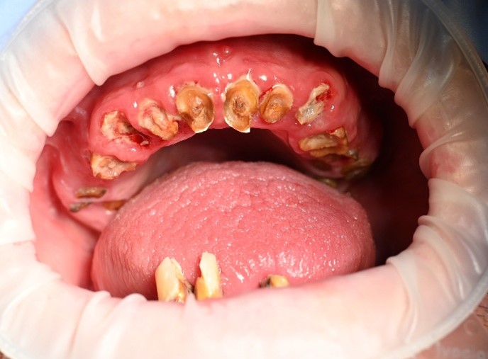
Full Arch All-On-X Dental Implants - Before

BEFORE

Full Arch All-On-X Dental Implants - After

AFTER

The Patient’s Challenge

This patient presented with significant dental concerns affecting both oral function and smile appearance. Everyday activities such as eating, speaking, and smiling comfortably had become increasingly difficult.

Like many people exploring full mouth dental implants, the patient was seeking a fixed and reliable solution that could restore both confidence and quality of life.

Beyond appearance, the goals included improving:

  • chewing ability
  • overall comfort
  • smile balance and aesthetics
  • long-term stability
  • confidence in social and professional settings

Why He Came to See Us

The patient visited Sayers Dental feeling frustrated with his remaining broken teeth and was ready for a fresh start. He wanted to eat comfortably, improve his appearance, and regain the confidence to smile again.

For him, this journey was about more than just teeth — it was about restoring quality of life, comfort, and self-esteem.


Our Assessment and Planning

We carried out a comprehensive clinical assessment and gathered detailed diagnostic records, including:

  • clinical photographs
  • intraoral scans and photos
  • OPG x-ray
  • CBCT scan
  • digital implant planning records

These records allowed us to carefully evaluate bone levels, gum health, and ideal implant positioning.

Although the patient showed moderate bone loss in certain areas and signs of previous chronic infections, his overall bone quality remained suitable for implant treatment. Importantly, there was no active infection at the time of surgery.

We also worked closely with the patient on smile design and tooth shade selection to ensure the final result looked natural and suited his facial features.


The Treatment Plan

After discussing all available options, we proceeded with a full arch fixed implant solution.

The treatment plan included:

  • removal of failing teeth
  • retention of upper wisdom teeth (as they were fully buried and asymptomatic)
  • bone grafting where required
  • use of CGF (Concentrated Growth Factors) derived from the patient’s own blood to enhance healing
  • placement of 5 implants in the upper jaw
  • placement of 6 implants in the lower jaw
  • same-day insertion of temporary fixed teeth

Because excellent implant stability was achieved during surgery, the patient was able to receive fixed temporary teeth immediately.

The Surgical Procedure

The procedure was performed under general anaesthesia, ensuring the patient remained completely comfortable throughout.

The surgery took approximately four hours. During the procedure, intraoperative x-rays were taken to confirm precise implant placement.

Once the implants were secured, temporary fixed bridges were fitted within a few hours — meaning the patient never had to leave without teeth.

Immediate Teeth on the Same Day

One of the most rewarding aspects of this case was delivering fixed temporary teeth on the same day as surgery.

These temporary restorations were designed to:

  • restore appearance
  • improve confidence immediately
  • allow gentle chewing function
  • stabilise the implants during healing

Before discharge, we carefully checked the patient’s bite, speech, comfort, and aesthetics.

Recovery After Surgery

The patient recovered very well, reporting minimal discomfort. Our team conducted follow-up calls to ensure he felt supported and had no concerns.

Thanks to general anaesthesia and long-acting pain relief, recovery was smoother than expected.

Post-operative care instructions included:

  • following a soft diet
  • avoiding smoking
  • avoiding spitting or vigorous rinsing
  • using prescribed mouth rinse
  • attending a review appointment after 7 days

As with all implant cases, healing varies individually, but the patient was able to return to normal daily activities within approximately one week.


The Emotional Impact

This transformation went far beyond physical restoration — it had a profound emotional effect.

When the patient saw his new smile, he became visibly emotional. After years of struggling with missing and failing teeth, he finally felt confident again.

Being able to smile freely was a life-changing moment.


The Final Result

The treatment delivered an excellent outcome, including:

  • fixed, non-removable teeth
  • improved chewing function
  • restored smile confidence
  • enhanced comfort
  • long-term stability
  • improved overall quality of life

Full arch dental implants can be truly transformative for patients dealing with damaged or missing teeth.


Patient Words

The patient shared:

“I had been struggling with no smile and no proper teeth for years. After the implant treatment, I can finally chew properly and smile with confidence. The procedure was much easier than I expected. I wish I had done it earlier.”

Dr Rashi Gupta’s Clinical Insight

Dr Rashi Gupta explains that this patient was a strong candidate for implants due to good general health and sufficient bone support.

She emphasises that detailed CBCT planning is one of the most critical aspects of treatment, as it ensures precision, reduces risk, and supports long-term success.

Dr Gupta also highlights that general anaesthesia allows patients to undergo surgery without discomfort, while long-acting pain management contributes to a smoother recovery experience.

For long-term implant success, she stresses the importance of:

  • maintaining good oral hygiene
  • attending regular maintenance visits
  • precise planning and implant placement

Why Full Arch Dental Implants Can Be Life-Changing

Full arch dental implants do more than replace missing teeth — they restore:

  • confidence
  • comfort
  • chewing ability
  • facial support
  • overall quality of life

If you are living with broken, failing, or missing teeth and are looking for a fixed, long-term solution, full arch dental implants may be the right option for you.


Book Your Consultation

Book a free consultation with Dr Rashi Gupta at Sayers Dental and discover a personalised approach to full-arch dental implant treatment in Geelong.