Dental
Implants
FREE Dental Implants Consultation
To claim your FREE Dental Implants Consultation, call us on (03) 9749 1178 or request your appointment online.
Dental Implants Hoppers Crossing
Nothing can take the place of natural teeth, but dental implants can come close.
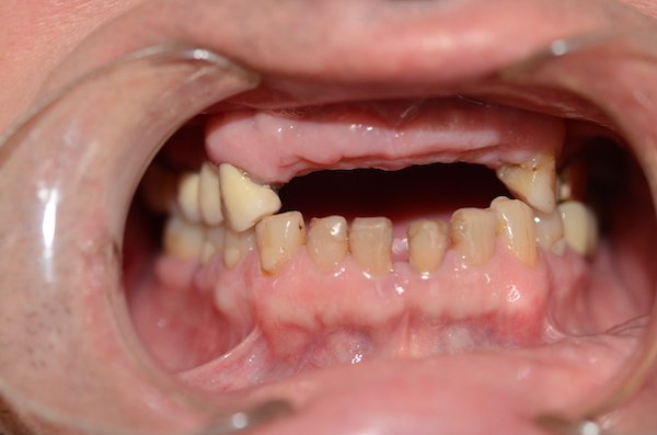
The teeth in the opposite jaw may also shift up or down towards the space. This can affect your bite and place more stress on your teeth and jaw joints.
If you are missing one or more teeth, there are many reasons why you should replace them:
- You may not like how the gap looks when you smile.
- Missing teeth may affect how you speak.
- A missing molar tooth can make it harder to chew.
- When a tooth is lost and not replaced, the teeth around it can shift.
- Bone loss can occur around the missing tooth. This may cause the remaining teeth to become loose over time.
- Loss of teeth and bone can make your face sag. You may look older.
- You hide your smile because you have missing teeth
- Your dentures are not comfortable
- You are not happy with your removable partial dentures
- You do not have or do not want your other teeth to anchor a bridge restoration
- People may choose implants to replace a single tooth, more than one tooth, or to support a full set of dentures.
What are Dental Implants?
Dental implants are posts surgically placed in the upper or lower jaw. The implants become a stable base for one or more replacement teeth. They function as anchors that replace your natural tooth roots.
Patients may choose dental implants to replace a single tooth, several teeth or to support partial or full dentures.
Here are some of the main reasons people get implants:
- They help you chew better
- They can help fill out a face that could look “sunken” because of missing teeth
- Dental implants can prevent further bone loss in the jaw
- They are the closest things to natural teeth
Who is a Qualified Candidate?
- has good overall health
- have enough jaw bone to support implants, or who can have bone grafts to support implants
- takes good care of this/her teeth every day
- does not smoke or chew tobacco
- makes regular dental visits
Who is a Qualified Candidate?
- has good overall health
- have enough jaw bone to support implants, or who can have bone grafts to support implants
- takes good care of this/her teeth every day
- does not smoke or chew tobacco
- makes regular dental visits
- Single tooth implant
- Implant supported bridge
- Implant supported denture
- Implants and Crowns Placement
- All on 4 Dental Implants Hoppers Crossing
- Full-arch rehabilitation missing teeth in either the upper or lower jaw may be replaced with a full-arch dental bridge supported by four or more dental implants
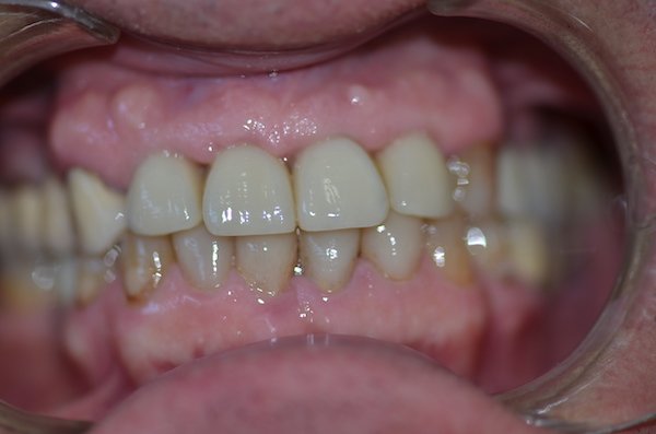
Benefits of Dental Implants
- Implants offer firm support to human-made teeth, Dentures, bridges or single teeth attached to the implants won’t slip or shift in your mouth – a very important benefit when eating and speaking.
- This secures fit also helps human-made teeth feel more natural than conventional bridges or dentures.
- Some people may find implant-supported dentures more comfortable than dentures that do not use implants.
- When teeth are missing, dental implants also help keep the jawbone from shrinking.
- Implants are a good value because they can last a lifetime with good care.
- A single tooth implant is a stand-alone unit and doesn’t involve treating the teeth next to it.
- Implants help to preserve the bone after teeth are lost or removed.
- Dental implants stimulate the jawbone and gums, ensuring an attractive, esthetic result, while helping to maintain facial structures
- New teeth on dental implants do not require adhesives, eliminating the discomfort and insecurity of loose, ill-fitting dentures.
Good oral hygiene is very important for the success of the implant.
If your dentist Hoppers Crossing does recommend implant treatment, consistent and good oral hygiene is very important for the success of the implant.
You must spend time caring for the implant and making sure the area around it is very clean. If not, it increases your risk for infection, which can weaken the bone and tissues that are needed to support the implant.
FREE Dental Implants Consultation in Hoppers Crossing
At Sayers Dental Aesthetics & Implants, we perform successful dental implant procedures that help replace missing teeth and decrease the risk of developing dental problems.
Dental Implants Hoppers Crossing
To claim your FREE Dental Implants Consultation, call us on (03) 9749 1178 or request your appointment online.
We are located at 483 Sayers Road in Hoppers Crossing.
Marah’s All-On-X Dental Implants
Marah came to us seeking a “nice smile” and requested fixed teeth both upper and lower. After discussing various options and costs, she chose to go with upper and lower fixed All-On-X bridges on implants under sedation.
To aid in her healing, we also utilised CGF (stem cells from her blood) for grafting. Marah is now beaming with her new smile and absolutely loves her new teeth!
Peter’s All-On-X Dental Implants
Peter struggled with loose and missing teeth, making it hard to smile and enjoy his favourite foods. Seeking a natural smile with permanent teeth instead of dentures, Peter visited Dr Rashi for a FREE dental implants consultation and immediately knew this was the solution he needed.
Why Peter Chose Dental Implants: Peter faced difficulties eating and felt self-conscious about his smile. He opted for dental implants to achieve a natural and permanent solution.
Ryan’s All-On-X Dental Implants
After exploring his options, Ryan decided to go for a FREE dental implants consultation and discovered that All-On-X dental implants were the perfect solution for him.
Ryan wanted a permanent, natural-looking solution that would restore his smile and improve his quality of life. After thorough consultation, he opted for All-On-X dental implants under general anaesthesia, leading to a smile he truly loves.
Kyle’s All-On-X Dental Implants
This patient came to Norlane Dental Aesthetics and Implants to improve his teeth and smile, and replace missing teeth. He was in pain and felt his smile undermined his confidence.
After discussing all options, he chose full-arch implants and a fixed bridge for the uppers. We kept his healthy lower teeth, removing only the infected ones. Due to his dental anxiety, the treatment was done under general anesthesia at Geelong Day Surgery.
The patient received his temporary fixed bridge within 24-48 hours and his final upper bridge within a week. He loves his new smile!
Two Implant Supported Lower Removable Denture
Helps give stability to the lower plate /more reasonable than a fixed bridge
Multiple Implants
(Before) – Patient with missing lower left canine and premolars
(After) – Missing teeth replaced with 3 dental implants
(Before) – Patient with missing upper incisors
(After) – Upper incisors replaced with dental implants, restored lower incisors
Crowns and Implants
Dr Rashi Gupta did comprehensive treatment for Shane – this was achieved by whitening ,increasing the Vertical dimension, beautiful aesthetic porcelain crowns and multiple implants .
Single Implant
Dr Rashi Gupta did Implant placement upper left for Canine.
More Before and After Cases

Fixed bridge upper on 6 implants

Upper fixed bridge on 5 implants

Fixed bridge zirconia on 4 implants

Upper denture and lower fixed bridge on 4 implants

Upper 4 implants and lower 6 implants with fixed bridges on the implants

Dental implants bridge
Frequently Asked Questions
What are dental implants?
How long will it take to recover?
The process can take a few to six months from start to completion but most people are able to return to normal activities within a few days of the procedure being done.
How long will dental implants last?
Who is a qualified candidate for dental implants?
How much do dental implants cost?
Are there any diseases that would prevent me from receiving implant placement?
Will I be in pain after the procedure?
Can I be allergic to dental implants?
Can an implant be placed immediately after removing a natural tooth?
Do I get my new tooth/teeth the same day my implant(s) is (are) placed?
How do I care for my new tooth/teeth?
Routine check-ups and cleaning by your dentist are important for caring for your new implant-supported tooth/teeth. You and your dentist should agree on appropriate schedule.
Can I chew and eat normally with my new tooth/teeth?
Are there quality differences between dental implant brands?
Together, these factors impact the functionality and appearance of dental implant restorations over time. Most important, quality implant systems are backed by extensive scientific and clinical research/ documentation, demonstrating their effectiveness.
Do you offer Payment plan?
Sayers Dental are proudly First Providers for:
NEED DENTAL ADVICE? JUST ASK US A QUESTION. (replies during business hours)
Book Your Dental Consultation Today!
- We accept EFTPOS, all major Credit Cards as well as HICAPS, MBF, Medibank Private, HCF & All major health funds.
Sayers Dental
Aesthetics & Implants
Address: 1/483 Sayers Road
Hoppers Crossing, VIC 3029
Phone: (03) 9749 1178
Email: admin@sayersdental.com.au
OPENING HOURS
Monday: Closed
Tuesday: 9:00 AM to 5:00 PM
Wednesday: Closed
Thursday:9:00 AM to 5:00 PM
Friday: 10:00 AM to 6:00 PM
Saturday: 9:00 AM to 4:00 PM
Sunday: Closed
PARKING/PUBLIC TRANSPORT
There is ample free car parking onsite
LOCATION
Sayers Dental Aesthetics & Implants is located in Hoppers Crossing, only a few min away from Thomas Carr College.
Hoppers Crossing dentist also serving local communities in Tarneit, Truganina, Werribee, Werribee South, Williams Landing, Wyndham Vale, Laverton, Laverton North, Altona, Altona Meadows, Altona North, Point Cook, Seabrook, Sanctuary Lakes and Alamanda.
















